به گزارش صنعت ساختمان، انقلاب بزرگ قرار دارد. دیگر دوران پرکردگی های سنتی که دوام کم و زیبایی محدودی داشتند، به سر آمده است. با ظهور علم نانوتکنولوژی و رویکرد زیست الگو (Biomimetic)، موادی در دسترس متخصصان قرار گرفته است که نه تنها زیبایی بی نظیر (همچون الماس) را به لبخند شما بازمی گردانند، بلکه مقاومت و دوام (همچون فولاد) را نیز تضمین می کنند. هدف اصلی این جهش تکنولوژیک، افزایش چشمگیر طول عمر ترمیم ها، مقابله با شکستگی و مهم تر از همه، ریشه کن کردن معضل همیشگی پوسیدگی ثانویه است.
چرا ترمیم های قدیمی شکست می خوردند؟
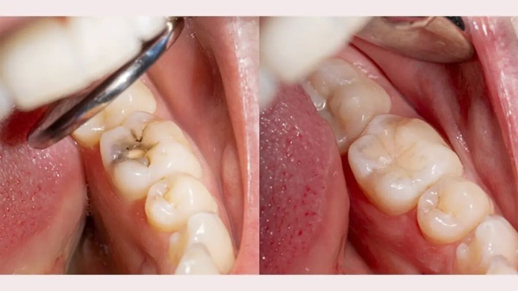
با وجود کاربرد گسترده کامپوزیت های رزینی به دلیل زیبایی ظاهری، بخش قابل توجهی از این پرکردگی ها در طول یک دهه با شکست مواجه می شدند. دلایل این شکست عمدتاً ریشه در طبیعت چالش برانگیز دهان داشت:
شکست مکانیکی و خستگی
دهان محیطی است که ترمیم ها در آن تحت تنش های مکانیکی و حرارتی مکرر ناشی از جویدن و نوشیدن سرد و گرم قرار می گیرند. این تنش ها منجر به تشکیل و تجمع ریزترک ها در ساختار ماده شده و نهایتاً به شکست یا لب پریدگی ترمیم دندان می انجامد.
پوسیدگی ثانویه
این مشکل که معمولاً در مرز بین ترمیم دندان و خود نسج دندان رخ می دهد، اصلی ترین دلیل جایگزینی پرکردگی ها است. شکاف های میکروسکوپی ناشی از انقباض پلیمریزاسیون (کوچک شدن ماده در حین سفت شدن) مسیری برای نفوذ باکتری ها و اسیدها ایجاد می کرد.

تنش های پلیمریزاسیون
هنگام سفت شدن مواد رزینی ترمیم دندان، کاهش حجم رخ می دهد که می تواند منجر به ایجاد ترک در مینای دندان، انحراف و خم شدن دیواره های دندان، و ایجاد شکاف در رابط ترمیم-دندان شود.
فلسفه طراحی کامپوزیت های نسل جدید برای ترمیم دندان
برای غلبه بر این چالش ها، نسل جدید مواد دندانی بر پایه سه اصل نوآورانه طراحی شده اند:
- تقویت ساختار تا حد نانو
- قابلیت های خودترمیمی و زیست فعال.
- تقلید فعال از طبیعت دندان
در ادامه این ۳ اصل را بازتر می کنیم:
۱. تقویت ساختار تا حد نانو (استحکام فولاد و درخشندگی الماس)
ورود علم نانو (کار با مواد در ابعاد ۱ تا ۱۰۰ نانومتر) به دندانپزشکی، خواص مکانیکی و زیبایی شناختی مواد ترمیمی را به سطحی کاملاً جدید ارتقا داده است. نانوکامپوزیت ها با استفاده از نانوذراتی مانند سیلیس و زیرکونیا، مزایای زیر را ارائه می دهند:

دوام در سطح اتمی
به لطف ذرات بسیار ریز، مواد جدید چقرمگی شکست (مقاومت در برابر انتشار ترک) و استحکام خمشی بالاتری نسبت به مواد سنتی دارند. این یعنی: مواد نانو، به ویژه نانوسرامیک ها، در آزمایش های شبیه سازی جویدن، مقاومت بسیار بیشتری در برابر سایش و شکست نشان دادند. استحکام مکانیکی بالاتر آن ها تضمین می کند که پرکردگی شما در برابر فشارهای طولانی مدت محیط دهان مقاوم باشد و دیرتر دچار تغییر شکل یا شکست شود.
زیبایی الماس گونه
نانوذرات آنقدر کوچک هستند که نور را به شیوه ای بسیار طبیعی در خود پخش می کنند. این ویژگی، شفافیت و رنگ طبیعی دندان را تقلید می کند و دستیابی به سطحی بسیار صاف و براق را ممکن می سازد.
بجز این نانوسرامیک ها در مقایسه با سایر مواد، پایداری رنگ بهتری دارند. این یعنی آن ها کمتر مستعد رنگ پریدگی یا تغییر رنگ ناشی از مواد رنگ زا مانند چای، قهوه و دخانیات هستند و درخشندگی اولیه خود را برای مدت طولانی حفظ می کنند.
۲. قابلیت خود ترمیمی (ترمیم خودکار و محافظت فعال)
نسل پیشرفته مواد هوشمند، علاوه بر ترمیم دندان به صورت خودکار، قابلیت های درمانی نیز دارند که مستقیماً با پوسیدگی ثانویه مبارزه می کنند. مثلا آن ها به غشای باکتری های مضر (که بار منفی دارند) می چسبند، ساختار آن ها را مختل کرده و باعث مرگ سلولی می شوند. این عمل باعث کاهش شدید فعالیت متابولیکی بیوفیلم ها و تولید اسید لاکتیک (عامل اصلی پوسیدگی) می شود و از تشکیل پلاک در مرز ترمیم جلوگیری می کند.
علاوه بر این نانوذرات بکار رفته در کامپوزیت های مدرن به صورت هوشمند عمل می کنند. یعنی مثلا هنگامی که محیط دهان در اثر حملات اسیدی (مانند مصرف نوشابه یا شیرینی) اسیدی می شود، این نانوذرات یون های کلسیم و فسفر را آزاد می کنند. این یون ها به تقویت ساختار عاج و مینای دندان کمک کرده و مواد معدنی از دست رفته را جایگزین می کنند.
۳. زیست الگو (تقلید از طبیعت برای حصول بهترین نتیجه)
رویکرد زیست الگو (Biomimetic) یک فلسفه درمانی است که از ساختار دندان طبیعی الهام می گیرد. دندان های ما از نظر ساختاری یک ماده کامپوزیتی هیبریدی هستند که از مواد آلی و معدنی ساخته شده اند. هدف این رویکرد این است که ترمیم ها نه تنها حفره را پر کنند، بلکه حداکثر ساختار سالم دندان را حفظ کرده و عملکرد و ظاهر دندان طبیعی را تقلید کنند.
گامی به سوی آینده دندانپزشکی
اجرای موفقیت آمیز این کامپوزیت های نسل جدید پیشرفته، مستلزم در اختیار داشتن ابزار و دانش تخصصی است. باید بدانیم که استفاده از نانو مواد و فعال سازی دقیق سیستم های خودترمیم شونده نیاز به تسلط کامل بر پروتکل های مدرن دارد. بنابراین برای اطمینان از اینکه دندان های شما با استفاده از این مواد درمانی و پیشرفته، با بالاترین استانداردها و دقت علمی ترمیم می شوند، انتخاب یک مجموعه تخصصی دندانپزشکی یا یک متخصص ترمیمی و زیبایی باتجربه بسیار بسیار مهم است.
اگر به دنبال یک کلینیک دندانپزشکی خوب در غرب تهران و یا کلا در تهران هستید که بتواند ترمیم هایی حرفه ای دندان را با کمک کامپوزیت های نسل جدید انجام دهد می توانید با مجموعه دندانپزشکی آرتمان درمان با بیش از ۲۰ سال سابقه درمان های ترمیمی و زیبایی در ارتباط باشید.
فلسفه درمانی در آرتمان درمان بر پایه اصول محافظه کارانه است. یعنی تا حد امکان برای حفظ دندان طبیعی تلاش می شوند و در تمامی درمان تمرکز محض بر حصول نتایج طبیعی متناسب با سایر اجزای طرح لبخند است.







