
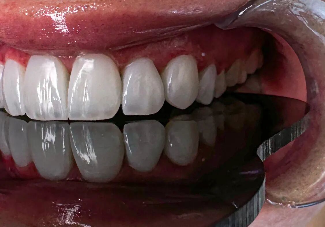
به گزارش صنعت ساختمان، برای خدمات زیبایی دندان در تهران رشد چشمگیری داشته است. از طراحی لبخند دیجیتال و لمینت دندان گرفته تا کامپوزیت ونیر و بلیچینگ حرفهای، هر روز بر تعداد افرادی که به دنبال بهبود ظاهر دندانهای خود هستند افزوده میشود. این افزایش تمایل، گرچه نشانهای از آگاهی بیشتر جامعه نسبت به بهداشت دهان و دندان است، اما از سوی دیگر، نگرانیهایی در مورد شیوع درمانهای غیرحرفهای و تبلیغات گمراهکننده نیز ایجاد کرده است.
برخی افراد بهدلیل هزینههای پایینتر، به مراکزی مراجعه میکنند که نهتنها مجوز قانونی ندارند، بلکه از مواد بیکیفیت و روشهای غیراستاندارد استفاده میکنند. نتیجه چنین اقداماتی میتواند بروز مشکلاتی همچون التهاب لثه، شکستگی لمینت یا حتی آسیب به مینای طبیعی دندان باشد.
در این میان، نقش کلینیکهای تخصصی و دارای سابقه روشن بیش از پیش اهمیت پیدا کرده است. بهعنوان مثال، sahlandental.com یکی از مراکز معتبری است که با بهرهگیری از دندانپزشکان مجرب، تجهیزات دیجیتال پیشرفته و مواد درجهیک، خدمات زیبایی دندان را بهصورت کاملاً علمی و ایمن ارائه میدهد.
با افزایش محبوبیت شبکههای اجتماعی و تأثیر زیبایی لبخند بر اعتماد بهنفس و روابط اجتماعی، پیشبینی میشود این روند صعودی ادامهدار باشد. با این حال، کارشناسان تأکید دارند که سلامت دهان نباید قربانی زیبایی سطحی شود. انتخاب آگاهانه، مشاوره با متخصص و پرهیز از اعتماد به تبلیغات اغواکننده، تنها راه رسیدن به لبخندی سالم و ماندگار است.







